EasyManua.ls Logo

INTERSON ViewBladder 10 - 3.6. Surface Cleaning & Disinfection; 3.8. Acoustic Energy & EMC; 3.10. Regulatory & Training Notes

INTERSON ViewBladder 10
8 pages
Print Icon
To Next Page IconTo Next Page
To Next Page IconTo Next Page
To Previous Page IconTo Previous Page
To Previous Page IconTo Previous Page
Loading...
ViewBladder 10
Quick Start Guide
Copyright Interson Corporation 5 P/N 01-9931-00 Rev 2
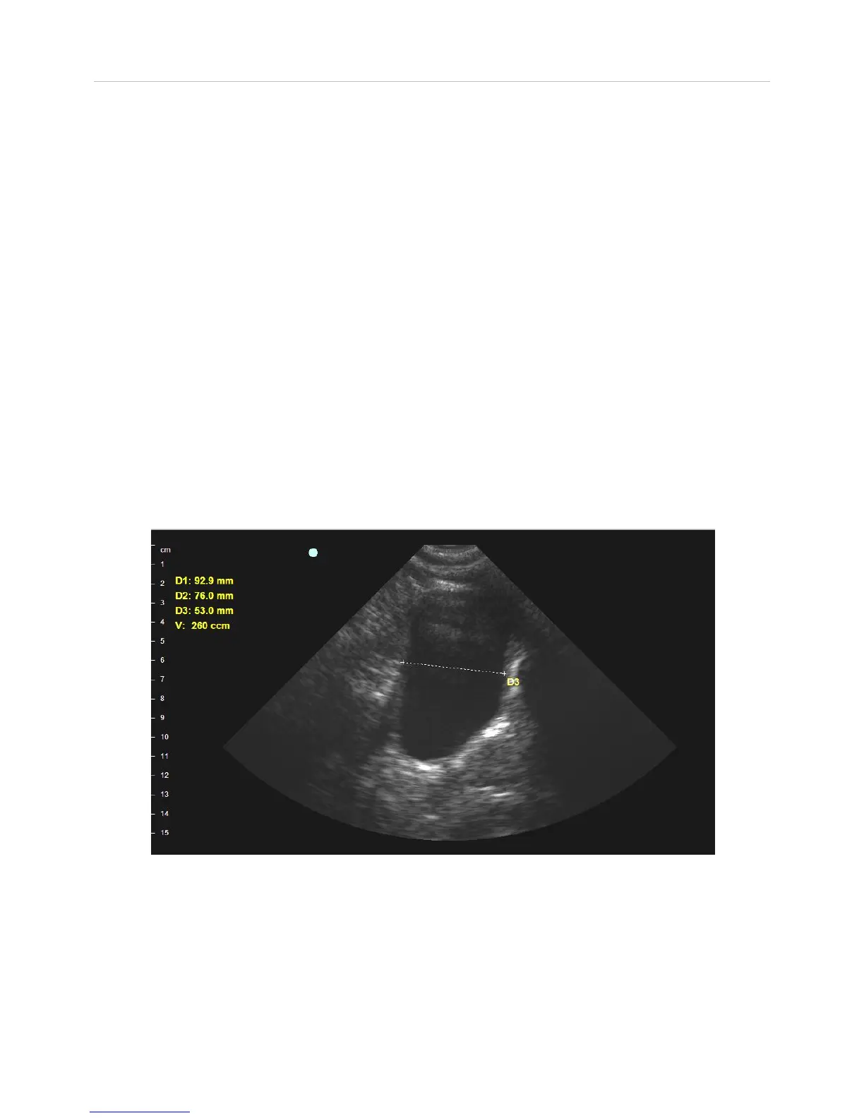
5. Freeze the image by pressing the blue button on the probe or the yellow
pause Scan button on the screen.
6. After freezing the image, measure the height of the displayed bladder by
placing your finger on one edge of the bladder and swiping to the opposite
side. Similarly measure the width. If you feel you did not optimally place
your finger, double tap to remove the current measurement and then swipe
your finger again.
7. Follow the onscreen prompts, displayed in yellow beneath the patient exam
box to take the mid-sagittal scan. By rotating the probe 90 degrees you will
be viewing the thickness of the bladder. Start the scan and then freeze
when you have the optimal bladder image.
8. You should see a black ultrasound shadow on the right edge of the scan.
This is the patient’s pubic bone.
9. Measure the thickness of the bladder by placing your finger on the edge of
the bladder and swiping to the opposite side. The mid-sagittal bladder
image is often displayed at a slight angle, either up or down. Therefore, to
make the most accurate measurement, always measure the thickness at the
appropriate angle.
10. ViewBladder 10 will calculate and display the bladder volume. If you find
you did not optimally place your finger, double tap to remove the volume
calculation and the D3 measurement. Repeat the D3 measurement.
11. Press the yellow pause button near the Patient Exam box to end the patient
exam and automatically generate and save the report.
12. To print the Patient report, go to the Patient Tab, select the patient from the
Last Name pull down and then press Print.

Other manuals for INTERSON ViewBladder 10