EasyManua.ls Logo

INTERSON ViewBladder 10 - Page 9

INTERSON ViewBladder 10
32 pages
Print Icon
To Next Page IconTo Next Page
To Next Page IconTo Next Page
To Previous Page IconTo Previous Page
To Previous Page IconTo Previous Page
Loading...
01-9932-00 ViewBladder 10 User Guide Revision 2 8
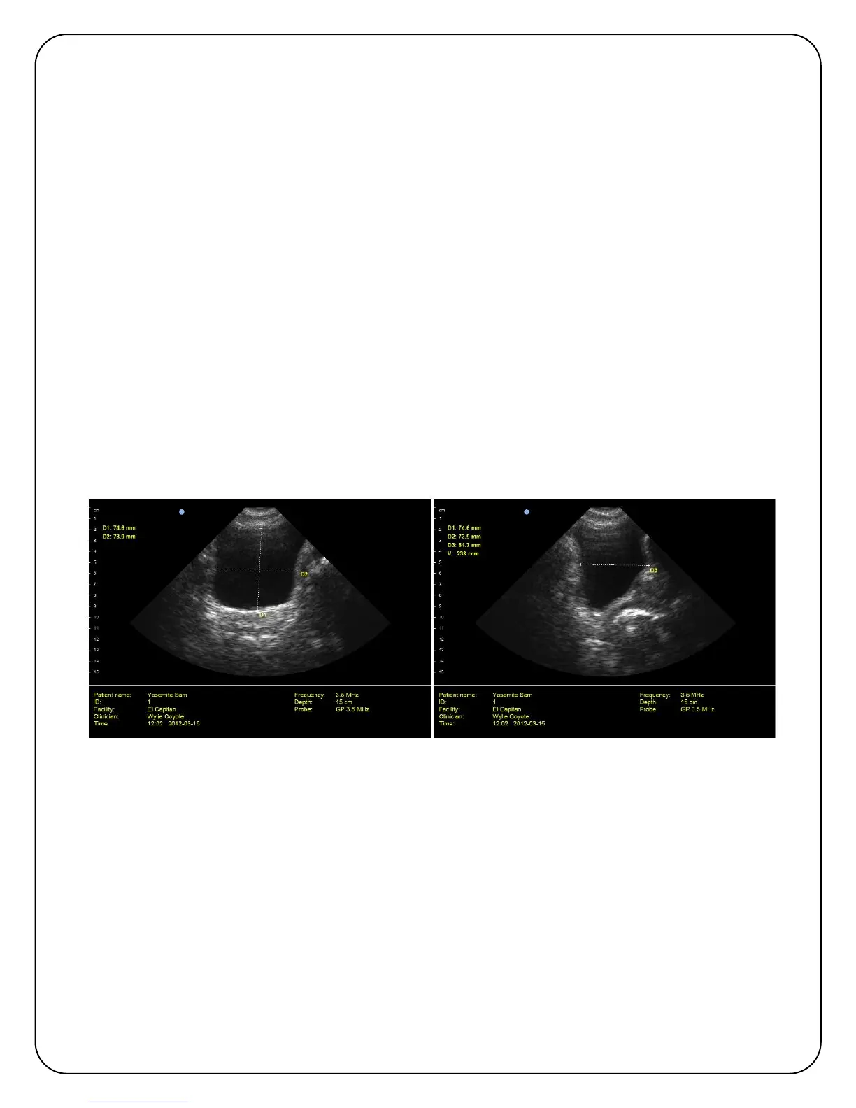
6. After freezing the image, measure the height of the displayed bladder by placing your finger
on one edge of the bladder and swiping to the opposite side. Similarly measure the width.
If you feel you did not optimally place your finger, double tap to remove the current
measurement and then swipe your finger again.
7. Follow the onscreen prompts, displayed in yellow beneath the patient exam box, to take the
mid-sagittal scan. By rotating the probe 90 degrees you will be viewing the thickness of the
bladder. Start the scan and then freeze when you have the optimal bladder image.
8. You should see a black ultrasound shadow on the right edge of the scan. This is the patient’s
pubic bone.
9. Measure the thickness of the bladder by placing your finger on the edge of the bladder and
swiping to the opposite side. The mid-sagittal bladder image is often displayed at a slight
angle, either up or down. Therefore to make the most accurate measurement, always
measure the thickness at the appropriate angle.
10. ViewBladder 10 will calculate and display the bladder volume. If you find you did not optimally
place your finger, double tap to remove the volume calculation and the distance
measurement. Repeat the distance measurement.
11. Press the yellow pause button near the Patient Exam box to end the patient exam and
automatically generate and save the report.

Other manuals for INTERSON ViewBladder 10