EasyManua.ls Logo

GE Vivid E95 - Page 12

GE Vivid E95
20 pages
Print Icon
To Next Page IconTo Next Page
To Next Page IconTo Next Page
To Previous Page IconTo Previous Page
To Previous Page IconTo Previous Page
Loading...
12 JB83797AU
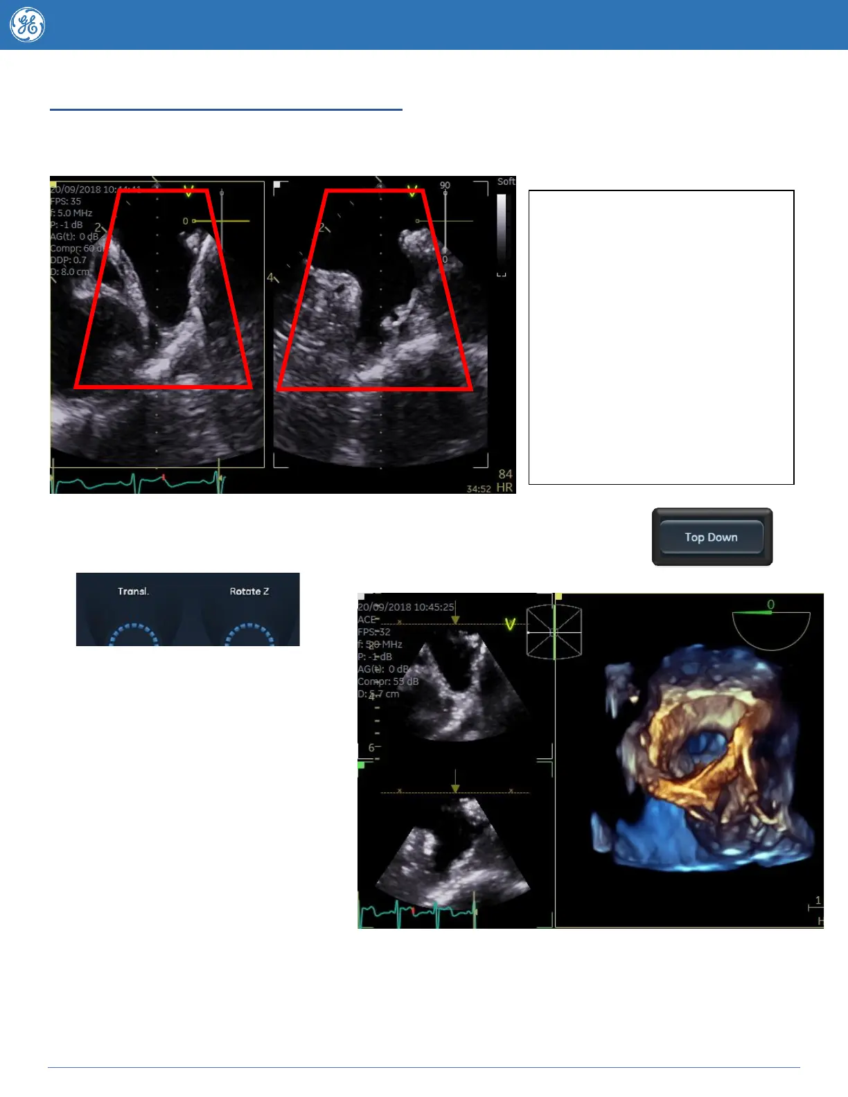
Using the 4D zoom TOP DOWN button
4D zoom Top Down is helpful for any structure you wish to see from the Top down, this makes it
especially helpful for 4D left atrial appendage and interatrial septum acquisition.
When you are ready to view your 4D image press the Top Down button on the
touchscreen and you will be taken through to the 4D rendered view.
The Rotate Z knob can be used the
adjust the angle of the 4D dataset if it’s
a couple of degrees off (represented by
yellow arrow).
The “Yellow” arrow on the 2D reference
planes represents the viewing
direction.
The brown Translate line (visible on
the 2D images) can be moved using
the translate knob at the bottom of the
touchscreen to optimize the image
move it closer to the region of interest
you can also use 2 Click Crop to
crop the image down in a parallel fashion.
Remember a darker 2d image may produce a nicer 4D image if it’s difficult to see the structures due
to blurring try turning down the large 2D gain knob.
Adjust Zoom region of interest -
The trackball will default to Position
adjustment in the Left box (it is
highlighted in yellow). Pressing the
select key changes between position
and region of interest size
adjustment. Optimise until satisfied.
To adjust the view in the right box
(Image to the right in above picture)
press your trackball button or touch
Ref Plane on your touchscreen. As
per the Azimuth plane use the Set
button to switch between position
and size adjustment.

Other manuals for GE Vivid E95

Related product manuals