EasyManua.ls Logo

GE Vivid iq - Color ROI Position

GE Vivid iq
31 pages
To Next Page IconTo Next Page
To Next Page IconTo Next Page
To Previous Page IconTo Previous Page
To Previous Page IconTo Previous Page
Loading...
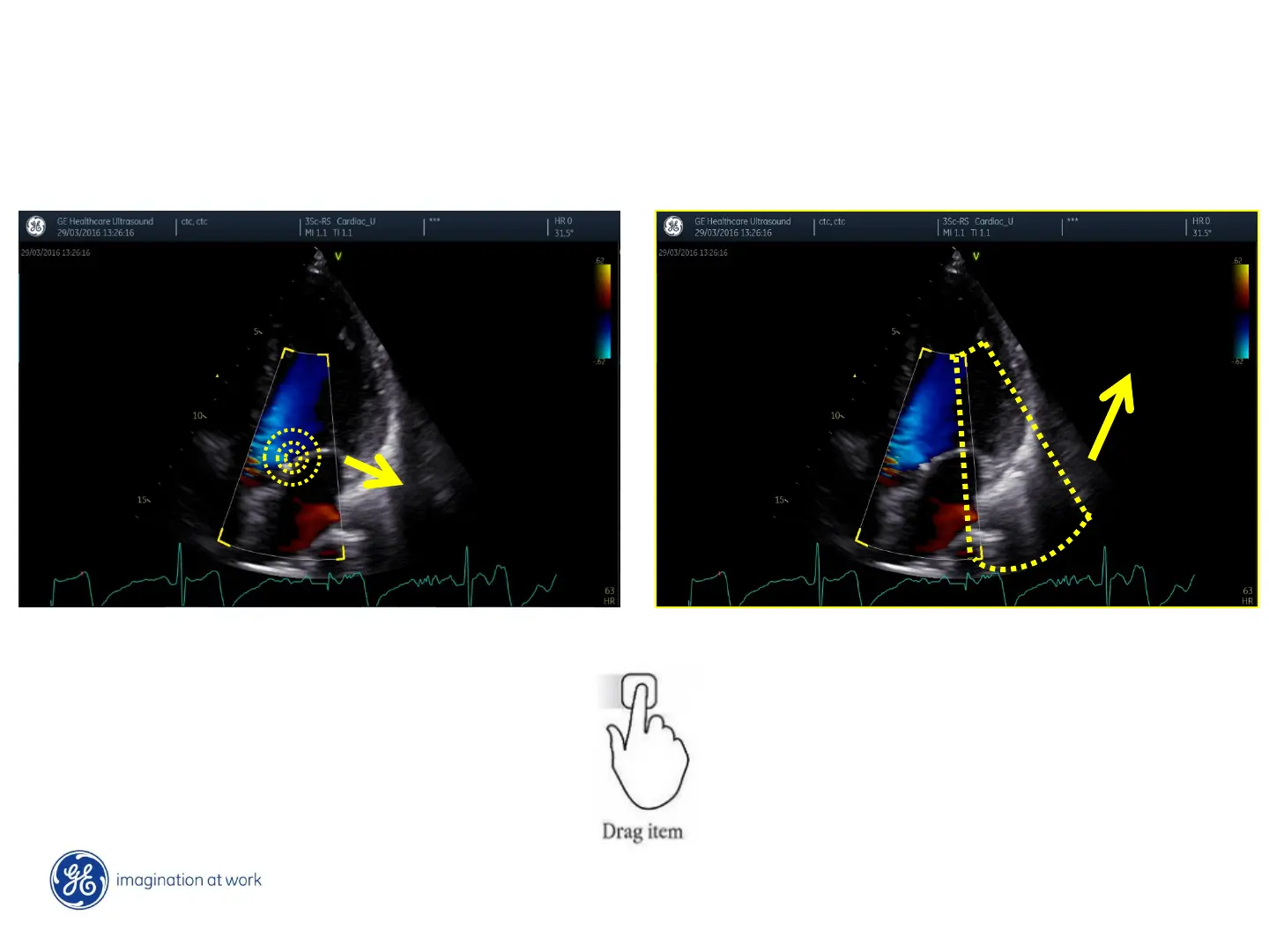
Color ROI position
Gesture:
Step1: Click on
the image area
Step2: move ROI to
a new position

Other manuals for GE Vivid iq

Related product manuals