EasyManua.ls Logo

smith&nephew RT-PLUS - Case Study: Preoperative and Postoperative Views

smith&nephew RT-PLUS
80 pages
Print Icon
To Next Page IconTo Next Page
To Next Page IconTo Next Page
To Previous Page IconTo Previous Page
To Previous Page IconTo Previous Page
Loading...
9
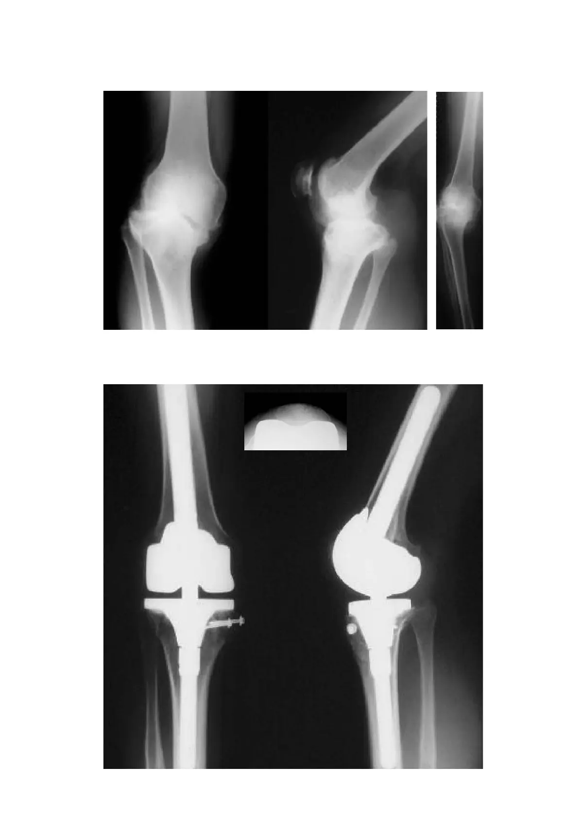
Preoperative situation
Case Study
Patient with severe joint instability (varus gonarthrosis) as well as medial joint destruction.
Postoperative result
Immediately postoperative; functional and pain-free reconstruction with RT-PLUS™ Modular knee.

Related product manuals