EasyManua.ls Logo

Mindray Resona I9 - Page 205

Mindray Resona I9
475 pages
To Next Page IconTo Next Page
To Next Page IconTo Next Page
To Previous Page IconTo Previous Page
To Previous Page IconTo Previous Page
Loading...
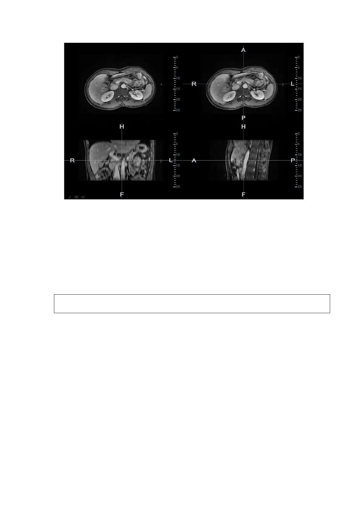
Image Optimization 5-131
2. Press <Cursor> to show the cursor. Mark on the axial plane (top-right)/coronal plane (bottom-
left)/sagittal plane (bottom-right). The procedures to make marks are given below:
Select Manual tracing” or Circle tracingin the Mark” drop-down list.
Circle tracing: Press <Set> to locate the center at the core of the lesion. Roll the trackball to
adjust the radius. Envelop the tumor or the lesion with the circle. Double press <Set> to
complete adding the mark.
Manual tracing: roll the trackball to manually envelop the lesion. Rotate the <4D> key to scroll
the CT/MR/PET/Freehand image and continue to mark the lesions. After lesions of all the
desired CT/MR/PET/Freehand planes are marked, tap [Accept Slice Trace] to add marks.
Tips: At least two CT/MR/PET/Freehand planes should be marked when performing manual
tracing.
Note: The Ultrasound System adds 3-dimesnsional sphere mark to CT/MR/PET/Freehand
volume data. Set the target mark based on your sphere center and sphere radius.
Rotate [Ablative Margin] to add the ablative margin for this mark. See also Ablative Margin
description below.
Mark the tumor (a maximum of 20 tumors can be marked). The color of the mark can be
green, blue, or red in turn. These colors appear in circle. The sphere diameter and ablative
margin appear in the result window.

Table of Contents

Related product manuals