EasyManua.ls Logo

Mindray Resona 7 - Page 187

Mindray Resona 7
492 pages
To Next Page IconTo Next Page
To Next Page IconTo Next Page
To Previous Page IconTo Previous Page
To Previous Page IconTo Previous Page
Loading...
6 Image Acquisition
Operator’s Manual 6 - 61
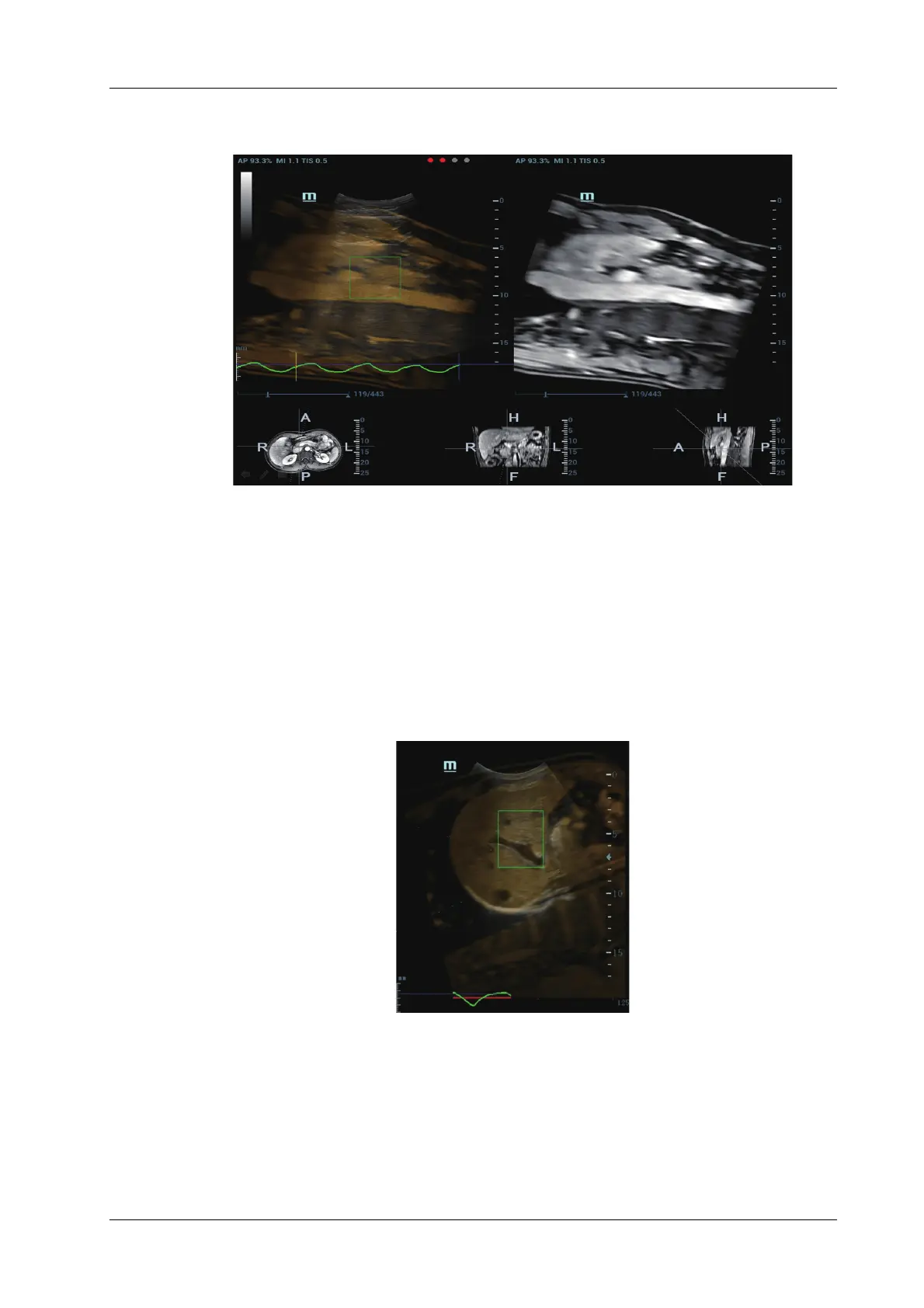
Press <Set> again to adjust ROI position and size, and to set the start frame and end frame of
the motion modeling.
4. Tap [Motion Modeling]. If modelling succeeds, the system will play the cineloop
automatically, and ROI moves along with the motion of the respiration curve.
NOTE:
RMQF scale is 0~1. 0 represents the poor motion modeling; 1 represents the premium
motion modeling.
Conduct step 3~4 repeatedly based on your demands. Set motion modeling repeatedly
until a premium one appears.
5. Tap [Motion Compen] to activate it. Move the probe. The Ultrasound System shows the CT
image which is processed by respiration compensation (Fusion Imaging with the respiration
compensation).
6. Save multi-frame cine.
Respiration Range
The aspiration curve appears due to the active respiration depth. The respiration curve beyond the
scale becomes the straight line.
Rotate the knob beneath [Resp Range]. Respiration curve scale and the unit appear on the right-
axis.

Table of Contents

Other manuals for Mindray Resona 7

Related product manuals