EasyManua.ls Logo

Siemens SOMATOM Emotion 6 - Thoraxcombi06 S

Siemens SOMATOM Emotion 6
194 pages
To Next Page IconTo Next Page
To Next Page IconTo Next Page
To Previous Page IconTo Previous Page
To Previous Page IconTo Previous Page
Loading...
120
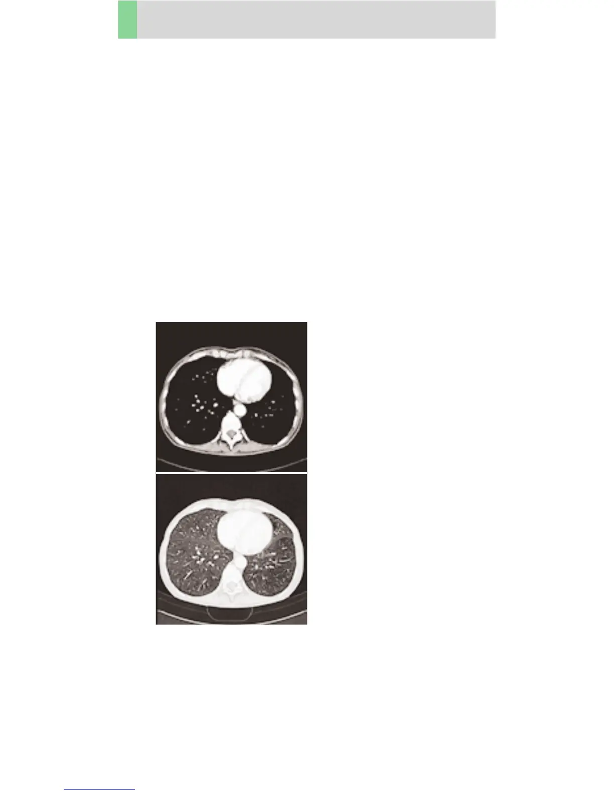
Thorax
ThoraxCombi06s
Indications:
Combining thin slice lung and routine thorax studies
with one spiral scan. E. g. thorax studies in general
and interstitial changes in the lungs, using a 0.6 sec.
rotation time.
There are two recon jobs predefined. The first one,
with 5 mm slice thickness, for the mediastinum,
the second reconstruction, with 1 mm slice thickness,
for the lung.
A range of 30 cm will be covered in 21.2 sec.

Table of Contents

Related product manuals