EasyManua.ls Logo

Siemens SOMATOM Emotion 6 - ThoraxCombi Protocol

Siemens SOMATOM Emotion 6
194 pages
To Next Page IconTo Next Page
To Next Page IconTo Next Page
To Previous Page IconTo Previous Page
To Previous Page IconTo Previous Page
Loading...
118
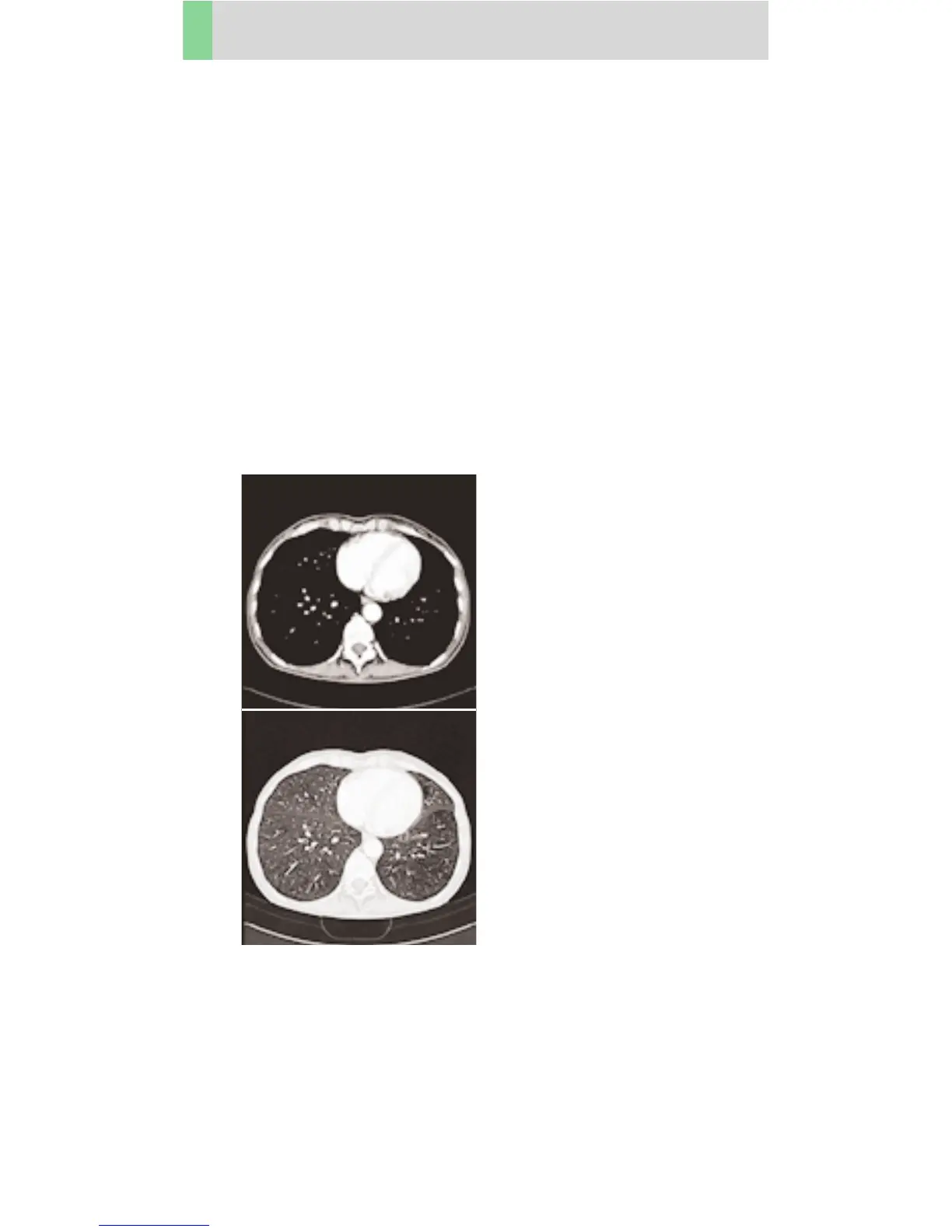
Thorax
ThoraxCombi
Indications:
Combining thin slice lung and routine thorax studies
with one spiral scan. E. g. thorax studies in general and
interstitial changes in the lungs.
There are two recon jobs predefined. The first one,
with 5 mm slice thickness, for the mediastinum,
the second reconstruction, with 1.25 mm slice thick-
ness for the lung.
A range of 30 cm will be covered in 23.8 sec.

Table of Contents

Related product manuals