EasyManua.ls Logo

Siemens SOMATOM Emotion 6 - Thoraxseqhr

Siemens SOMATOM Emotion 6
194 pages
To Next Page IconTo Next Page
To Next Page IconTo Next Page
To Previous Page IconTo Previous Page
To Previous Page IconTo Previous Page
Loading...
132
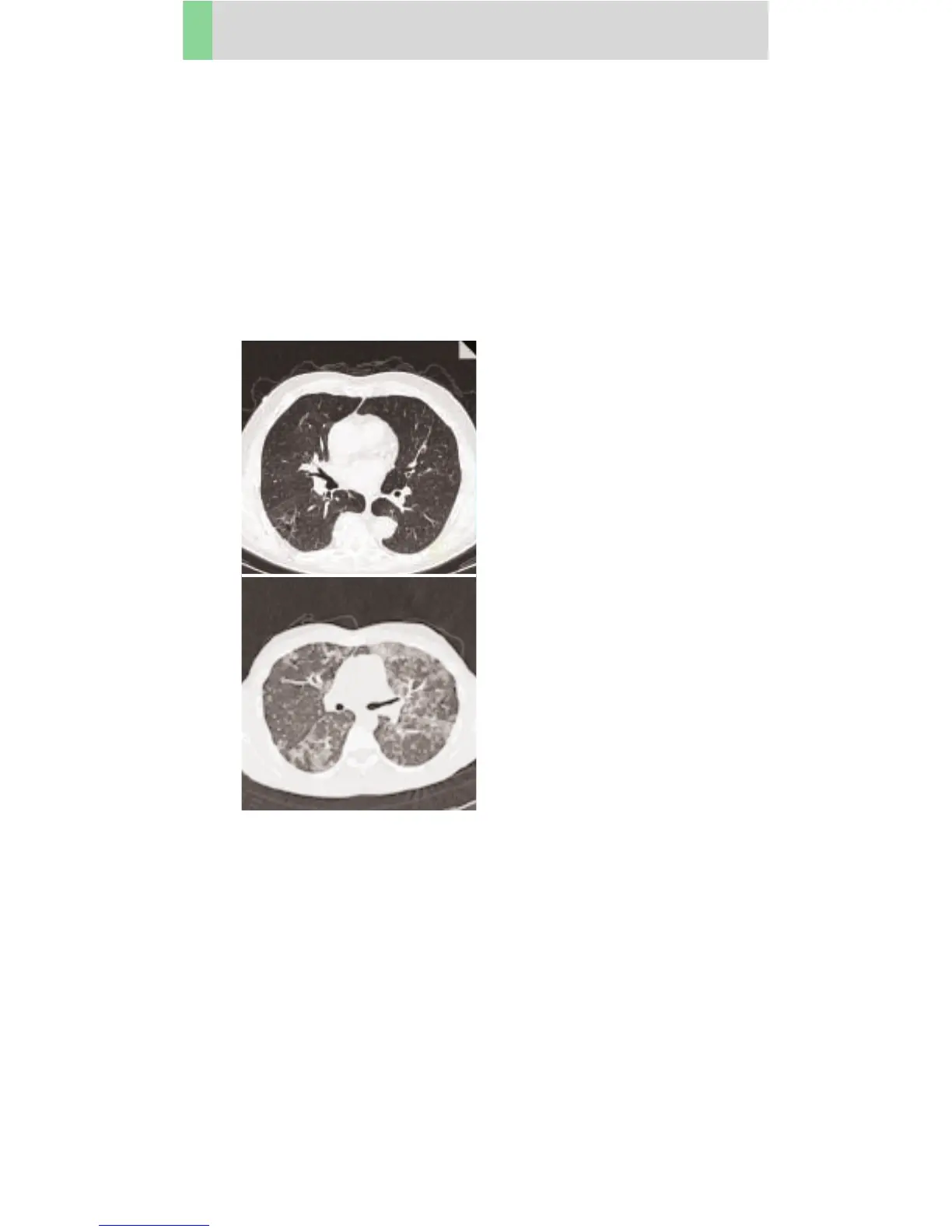
Thorax
ThoraxSeqHR
Indications:
Sequence mode for HiRes lung studies. E. g. interstitial
changes in the lungs.
Images are acquired in 10 mm intervals.

Table of Contents

Related product manuals