EasyManua.ls Logo

GE Vivid E9 Series - Page 14

GE Vivid E9 Series
35 pages
Print Icon
To Next Page IconTo Next Page
To Next Page IconTo Next Page
To Previous Page IconTo Previous Page
To Previous Page IconTo Previous Page
Loading...
GE Healthcare
- 14 -
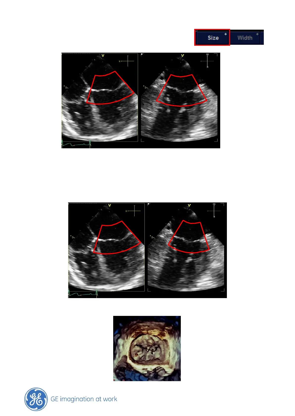
Press the Set button to change from Position to ROI Size and
adjust accordingly.
Use the Set button to change between Position and Size and optimize until satisfied.
To further adjust in Elevation plane, press the Trackball button or use the Ref Plane button on the
touch panel.
Adjust Width and Position in the elevation plane (switch between those two functions with Set
button)
Finally when ready with the adjustments press the 4D Button to start the 4D Zoom Acquisition

Related product manuals