EasyManua.ls Logo

GE Vivid E9 Series - Navigating with 2 Click Crop

GE Vivid E9 Series
35 pages
Print Icon
To Next Page IconTo Next Page
To Next Page IconTo Next Page
To Previous Page IconTo Previous Page
To Previous Page IconTo Previous Page
Loading...
GE Healthcare
- 19 -
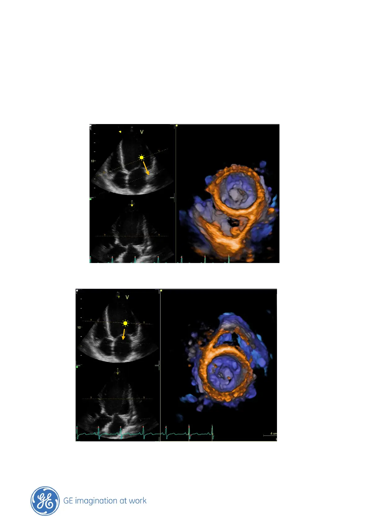
Where to go
While moving the cursor the system immediately shows you the result in the rendered image.
As long as the end point is not set, the cursor can be adjusted in all directions and the rendered
image will visualize the cropped area. In this way you can map through the structures to find the
best position.
Adjust the cursor to visualize the structure you want to see

Related product manuals