EasyManua.ls Logo

OCULUS Pentacam - Page 100

OCULUS Pentacam
216 pages
Print Icon
To Next Page IconTo Next Page
To Next Page IconTo Next Page
To Previous Page IconTo Previous Page
To Previous Page IconTo Previous Page
Loading...
98
Had it only been judged on the basis of Placido topography, CCT and the clinical parameters, the
case would have qualified as a good candidate for LASIK. However, the Pentacam® exam revealed
some telling characteristics of the cornea which in our view constituted a high risk case for
ectasia. This case is a good example of ectasia susceptibility.
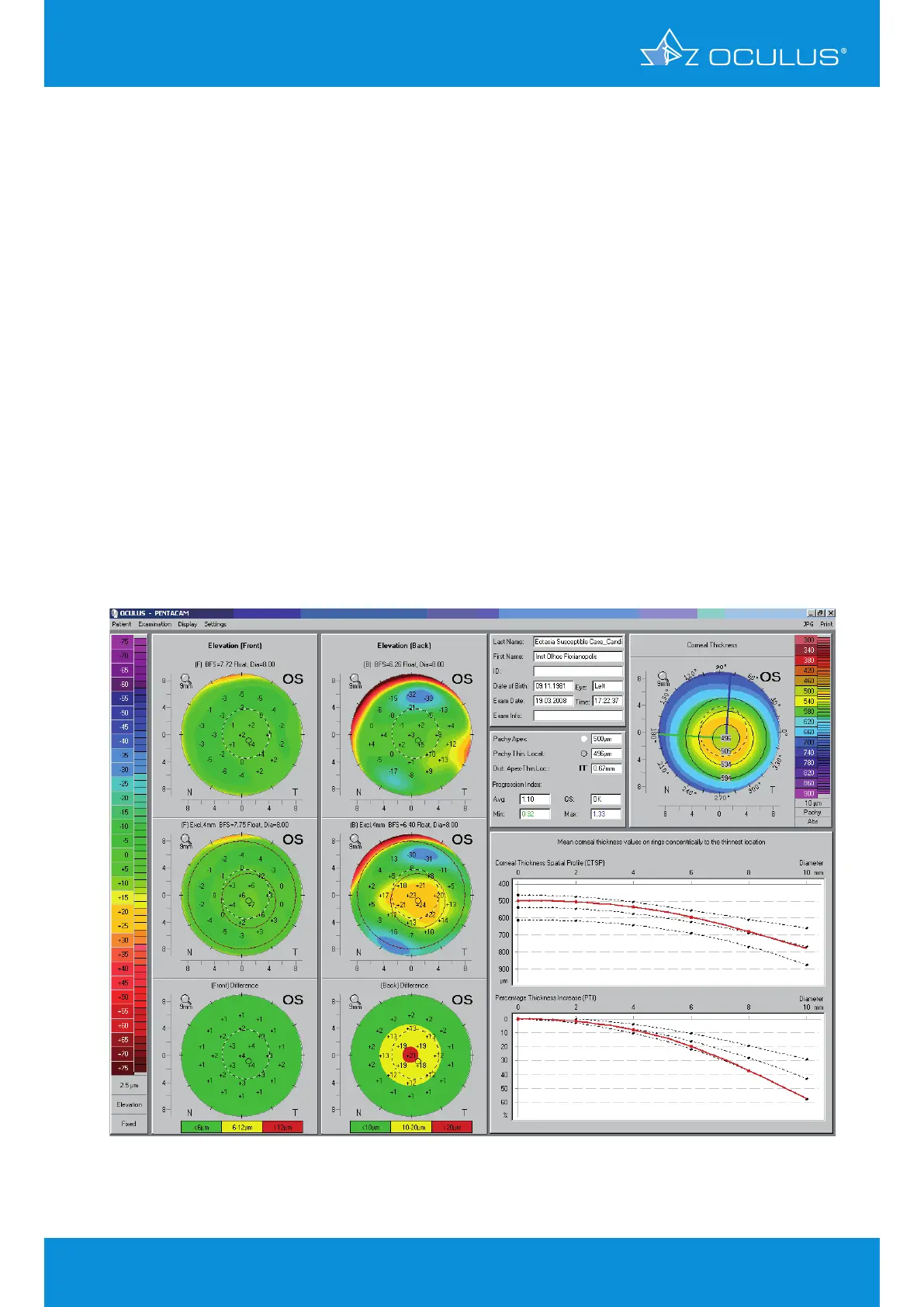
In the Belin/Ambrósio Enhanced Ectasia Display, shown in Figure 117, Figure 118, the distance
of the TP from the apex is greater than 0.5 mm in both eyes. There is an "S" shape line in the
thickness profile graphs in both eyes, more evident in the lower graph (PIT).
The enhanced elevation map of the back surface is also abnormal in both eyes.
This case illustrates the importance of not only relying on central corneal thickness and anterior
curvature. The thinnest corneal reading in OS is below 500 μm, the pachymetric progression graphs
are borderline in OD and abnormal in OS, and the enhanced elevation maps show changes (red) on
the posterior surface, while the anterior surface appears normal. Patients with changes limited to
the posterior surface and/or pachymetric progression may retain excellent visual acuity in spite of
these abnormalities.
Discussing these findings with Dr. Cunha, I advised not to proceed with LASIK. Interestingly, she
mentioned "If there are too many doubts, there is no doubt!".
In view of the tomographic evidence we agreed to refrain from corneal refractive surgery and to
first evaluate topographic and refractive stability before going for custom surface ablation. This is
a case of subclinical keratoconus.
Figure 117: Belin/Ambrósio Enhanced Ectasia Display (version I) showing subclinical
keratoconus in OS
12 Belin/Ambrósio Enhanced Ectasia Display

Table of Contents

Other manuals for OCULUS Pentacam

Related product manuals