EasyManua.ls Logo

OCULUS Pentacam - 9 Glaucoma; Case 1: General Screening by Tobias H. Neuhann, MD

OCULUS Pentacam
216 pages
Print Icon
To Next Page IconTo Next Page
To Next Page IconTo Next Page
To Previous Page IconTo Previous Page
To Previous Page IconTo Previous Page
Loading...
36
9 Glaucoma
9 Glaucoma
9.1 Case 1: General screening
by Tobias H. Neuhann, MD
A 48-year-old white male patient presented for a second opinion on his glaucoma treatment. His
father and grandfather had had glaucoma. After ten years of glaucoma medical treatment his
ophthalmologist was now recommending a second medication. We measured 24 mmHg with a
Goldmann tonometer.
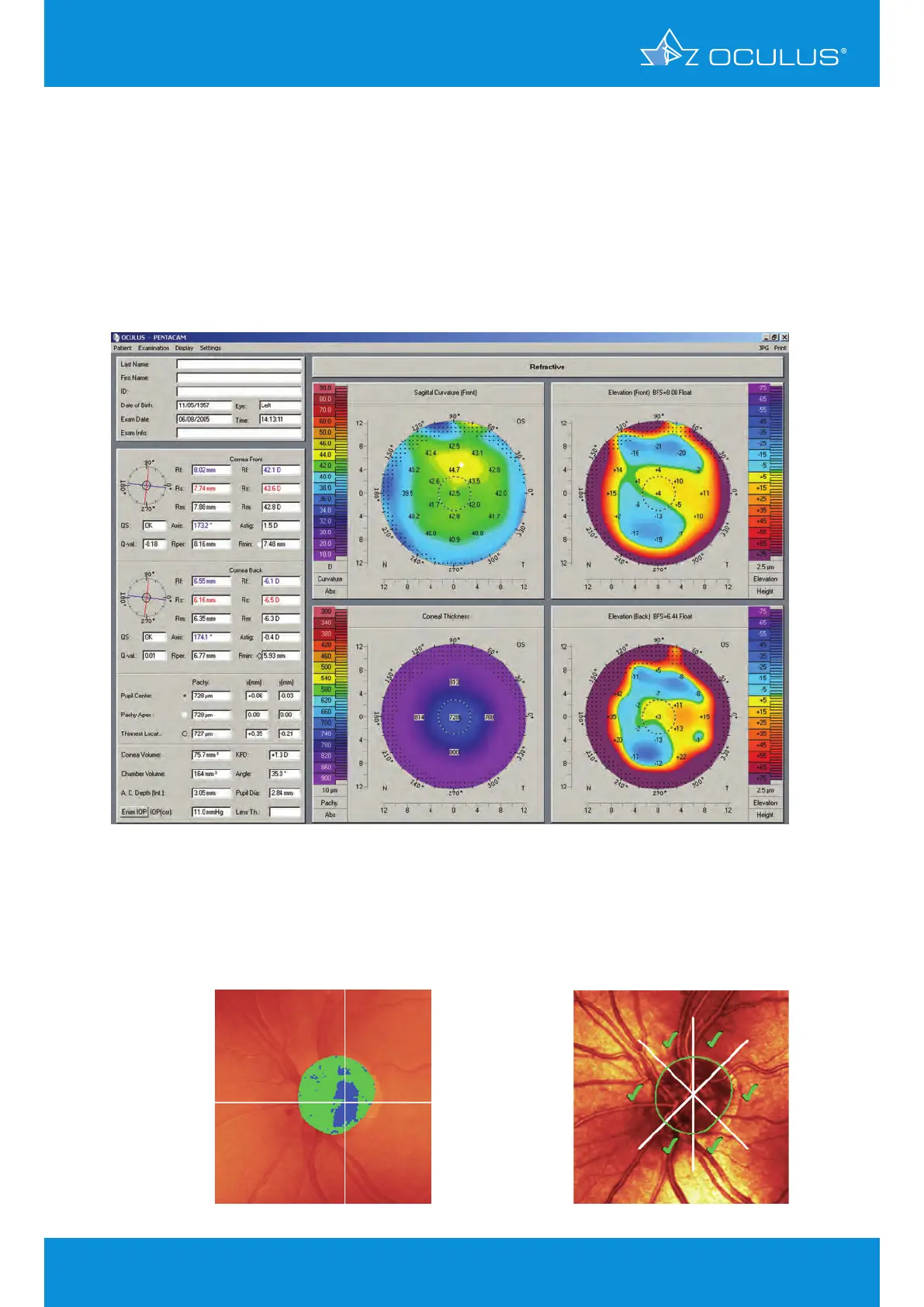
Examination with the Pentacam® 4 Maps Refractive display (Figure 38) yielded a corneal thickness
of 728 μm, resulting in a corrected IOP of 11 mmHg according to the Dresdner scale. Further
examination on the Heidelberg-Retina-Tomograph (HRT) revealed a healthy optic nerve, and we
therefore advised the patient to stop his medication. His IOP today is between 19 and 22 mmHg
during the daytime. We are still seeing him 4 times a year for an IOP and HRT checkup (Figure 39,
Figure 40).
Figure 38: 4 Maps Refractive revealing a thick cornea
Figure 39: HRT Image
Figure 40: HRT Image

Table of Contents

Other manuals for OCULUS Pentacam

Related product manuals