EasyManua.ls Logo

iCR 3600 - Image Jitter; Over Exposure

iCR 3600
76 pages
Print Icon
To Next Page IconTo Next Page
To Next Page IconTo Next Page
To Previous Page IconTo Previous Page
To Previous Page IconTo Previous Page
Loading...
iCR 3600
TM
Service Manual
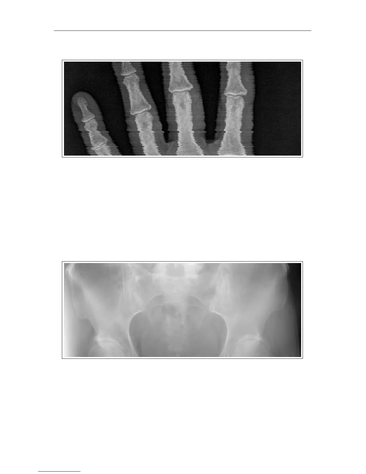
7.3.8 Image Jitter
Symptom: Jittery image.
Cause: Inconsistency in the CR unit’s galvanometer.
Solution: Image jitter issues are
not
serviceable in the field. Please contact Technical
Support for assistance with image jitter.
7.3.9 Over Exposure
Symptom: Lines in images / images look more “translucent”– the images lack the proper
contrast and density.
Cause: Over exposure.
c
2007-2009
Confidential and Proprietary
Property of iCRco, Inc.
34 of 61 Document # 3600-02A Rev C
March 22, 2010

Table of Contents

Other manuals for iCR 3600