EasyManua.ls Logo

COXEM EM-30PLUS - Page 97

COXEM EM-30PLUS
126 pages
Print Icon
To Next Page IconTo Next Page
To Next Page IconTo Next Page
To Previous Page IconTo Previous Page
To Previous Page IconTo Previous Page
Loading...
Scanning Electron Microscope EM-30PLUS Operating Manual
97
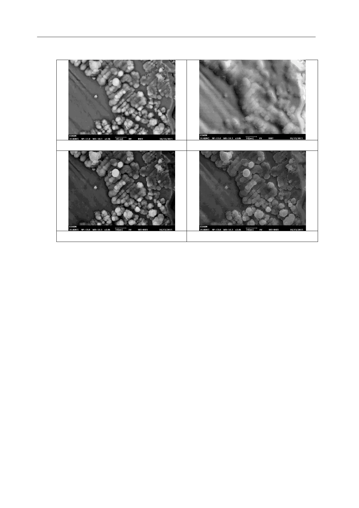
Reference figure. 4 Types of Images based on BSE Composition
BSE Compo
BSE Topo
SE+BSE Compo
SE+BSE Topo

Table of Contents