EasyManua.ls Logo

Chison ECO 2 - Body Marks

Default Icon
200 pages
Print Icon
To Next Page IconTo Next Page
To Next Page IconTo Next Page
To Previous Page IconTo Previous Page
To Previous Page IconTo Previous Page
Loading...
ECO 2 Ultrasound Diagnostic System
Page 107 / 189
7.5 Exam Mode
7.5.1 Exam Mode Edit
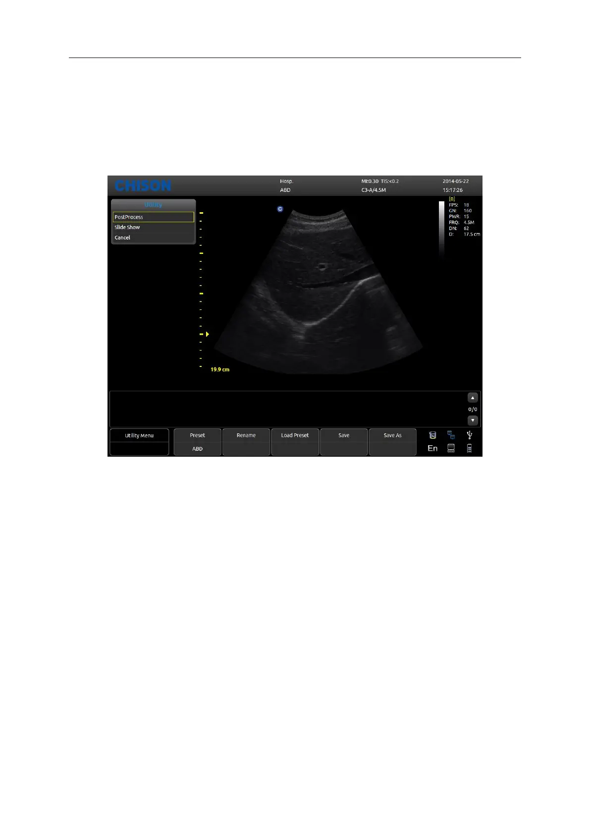
Press Utility in the submenu of [MENU], the parameters control area shows as following. Press the
corresponding control button to turn on or off the function.
Preset: Display the current preset.
Rename: Rename the current preset.
Load Preset: Load the preset displayed.
Save: Save the current preset.
Save As: Save the current preset as others.
7.5.2 Exam Mode Selection
Choose Utility and press [MENU], the following interface pops up. Open the relate function by
corresponding control area.

Table of Contents

Related product manuals