EasyManua.ls Logo

Optos P200TxE - FIGURE 14: Examples of Local Weak Signal Strength; FIGURE 15: Example of Local Weak Signal Near the Fovea; FIGURE 16: Example of Local Weak Signal with Acceptable Global SNR

Optos P200TxE
84 pages
Print Icon
To Next Page IconTo Next Page
To Next Page IconTo Next Page
To Previous Page IconTo Previous Page
To Previous Page IconTo Previous Page
Loading...
Chapter 4 - Capture images
l eye movement.
l blinks.
l media opacities.
l dry eye.
l floaters.
l improper alignment of the eye.
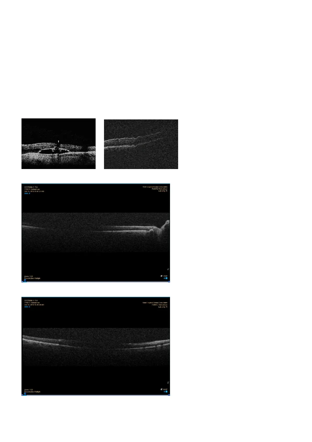
If a local weak signal covers essential parts of the image, for example the fovea, the operator should
document the image as non-evaluable. If a local weak signal does not cover essential parts of the image
the operator should document the image as evaluable.
FIGURE 14: Examples of local weak signal strength.
FIGURE 15: Example of local weak signal near the fovea.
FIGURE 16: Example of local weak signal with acceptable global SNR.
Page 48 of 84 Part Number: G110230-003-ENG
English Copyright 2019-2021, Optos plc. All rights reserved.

Table of Contents

Related product manuals