EasyManua.ls Logo

Mindray Recho R9 - Page 173

Mindray Recho R9
477 pages
To Next Page IconTo Next Page
To Next Page IconTo Next Page
To Previous Page IconTo Previous Page
To Previous Page IconTo Previous Page
Loading...
Image Optimization 5-99
2. Tap [Elasto]→[STQ] on the touch screen. Or press the user-defined <STQ> key (set the user-defined
key via [Preset]→[System][iConsole&Footswitch]/[Key Board]) to enter the STQ mode.
3. Adjust the ROI based on the lesion size and the position.
4. Press <Update> to generate the acquisition. Place the probe still with stable force (not pressing,
sweeping or moving the probe) to acquire the image. Adjust the B image parameters to obtain a
premium image.
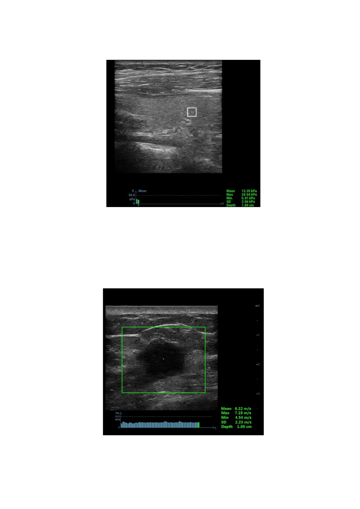
The stress curve shows at the bottom of the screen after entering the real-time acquisition.
The following indices display besides end of the curve in real-time:
Elasto modulus inside the ROI of the current frame;
The mean value, maximum value, minimum value, SD value of shear velocity;
Depth value of the active elasto modulus.
5. Freeze the image, and replay the image if necessary.
6. Save the single-frame and multi-frame image.
7. Reacquire the image if necessary.

Table of Contents

Related product manuals