EasyManua.ls Logo

Mindray Resona R9 Exp - Page 187

Mindray Resona R9 Exp
492 pages
Print Icon
To Next Page IconTo Next Page
To Next Page IconTo Next Page
To Previous Page IconTo Previous Page
To Previous Page IconTo Previous Page
Loading...
6 Image Acquisition
Operator’s Manual 6 - 61
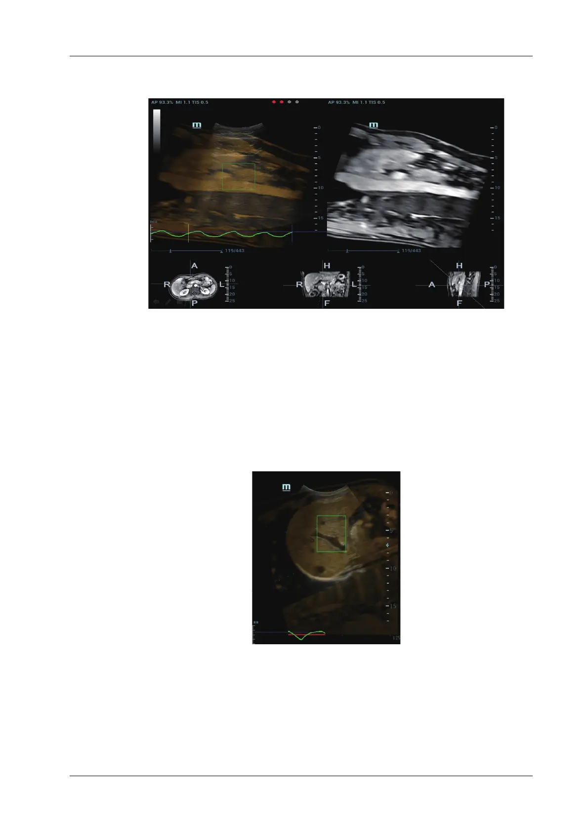
Press <Set> again to adjust ROI position and size, and to set the start frame and end frame of
the motion modeling.
4. Tap [Motion Modeling]. If modelling succeeds, the system will play the cineloop
automatically, and ROI moves along with the motion of the respiration curve.
NOTE:
RMQF scale is 0~1. 0 represents the poor motion modeling; 1 represents the premium
motion modeling.
Conduct step 3~4 repeatedly based on your demands. Set motion modeling repeatedly
until a premium one appears.
5. Tap [Motion Compen] to activate it. Move the probe. The Ultrasound System shows the CT
image which is processed by respiration compensation (Fusion Imaging with the respiration
compensation).
6. Save multi-frame cine.
Respiration Range
The aspiration curve appears due to the active respiration depth. The respiration curve beyond the
scale becomes the straight line.
Rotate the knob beneath [Resp Range]. Respiration curve scale and the unit appear on the right-
axis.

Table of Contents

Other manuals for Mindray Resona R9 Exp

Related product manuals