EasyManua.ls Logo

Zeiss PLEX Elite 9000 - Page 35

Zeiss PLEX Elite 9000
246 pages
Print Icon
To Next Page IconTo Next Page
To Next Page IconTo Next Page
To Previous Page IconTo Previous Page
To Previous Page IconTo Previous Page
Loading...
Instructions for Use 2 Introduction
2660021169042 Rev. A 2018-03 2.6 PLEX® Elite 9000 Technology
2660021169042 Rev. A 2018-03 35 / 246
non HD HD 51 Line
Table2: Cube 6mmx6mm B-Scan Examples
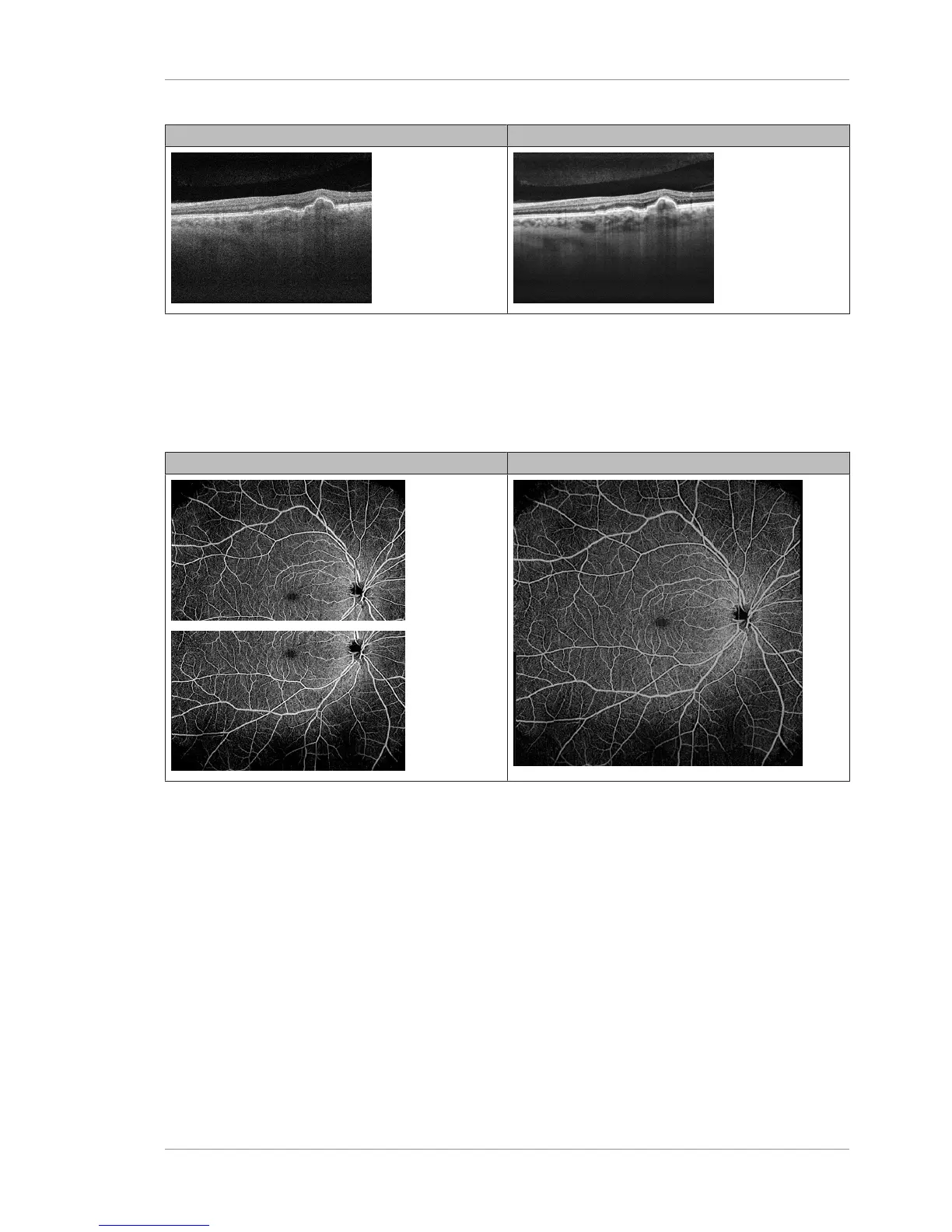
2.6.1.2 Fast Montage (15x9)
A new scan option, Montage Angio (15mmx9mm), acquires two
Angio 15mmx9mm scans at central fixation combined to form a
single image with a FOV greater than 50 degrees.
Individual Scans Montage
Table3: Montage Angio (15mmx9mm) example
2.6.1.3 Segmentation Editing - Intermediate Layers
PLEX® Elite 9000 identifies segmentation layers and estimates the
layer boundaries. Because some layer boundaries can vary by
patient, PLEX® Elite 9000 allows you to edit the boundaries and
then automatically propagate your changes, which applies the
newly defined layer to all images included in the scan.
The segmentation layers that you can edit are:
Inner Limiting Membrane (ILM)
Inner Plexiform Layer (IPL)
Outer Plexiform Layer (OPL)
Retinal Pigment Epithelium (RPE)
PRE-fit (smooth fit to the RPE)

Table of Contents

Related product manuals