EasyManua.ls Logo

Terason t3000 - Directional Power Doppler

Terason t3000
421 pages
Print Icon
To Next Page IconTo Next Page
To Next Page IconTo Next Page
To Previous Page IconTo Previous Page
To Previous Page IconTo Previous Page
Loading...
Chapter 1 - About the Terason Ultrasound System About Ultrasound Modes
Terason t3000 / Echo Ultrasound System User Guide 26
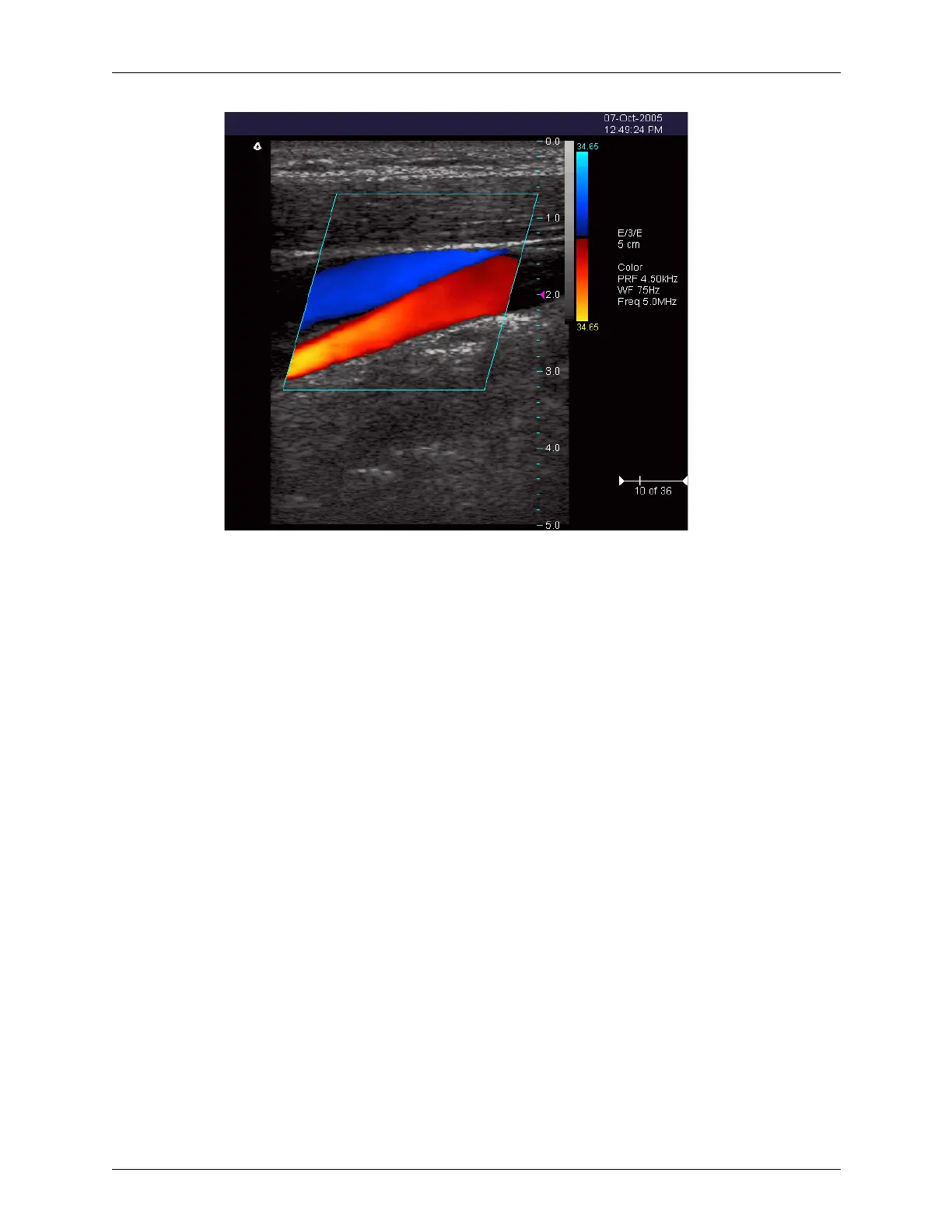
Example Color Doppler Scan
For more information on using Color Doppler, see:
Acquiring Images on page 63
Using Color and Power Doppler Image Controls on page 118
Directional Power Doppler
Directional Power Doppler (DirPwr) is a combination of some features of conventional
Power Doppler and of Color Doppler. It provides the increased sensitivity of conventional
Power Doppler, plus the directional information derived from Color Doppler.
Directional Power Doppler does not provide an estimate of blood flow velocity. The color
palette is proportional to the strength of the Doppler signal. This mode allows you to
obtain good-quality images of deep arteries and other tissue. You can also apply a high
frame rate or high resolution to control the quality of the scan.
The Directional Power Doppler scan data displays in the 2D Image Display window.

Table of Contents