EasyManua.ls Logo

Imaging Sciences i-Cat 17-19 - Page 72

Imaging Sciences i-Cat 17-19
292 pages
Print Icon
To Next Page IconTo Next Page
To Next Page IconTo Next Page
To Previous Page IconTo Previous Page
To Previous Page IconTo Previous Page
Loading...
17-19 Operators’ Manual
990400 Rev C 2010 May 1
8-2
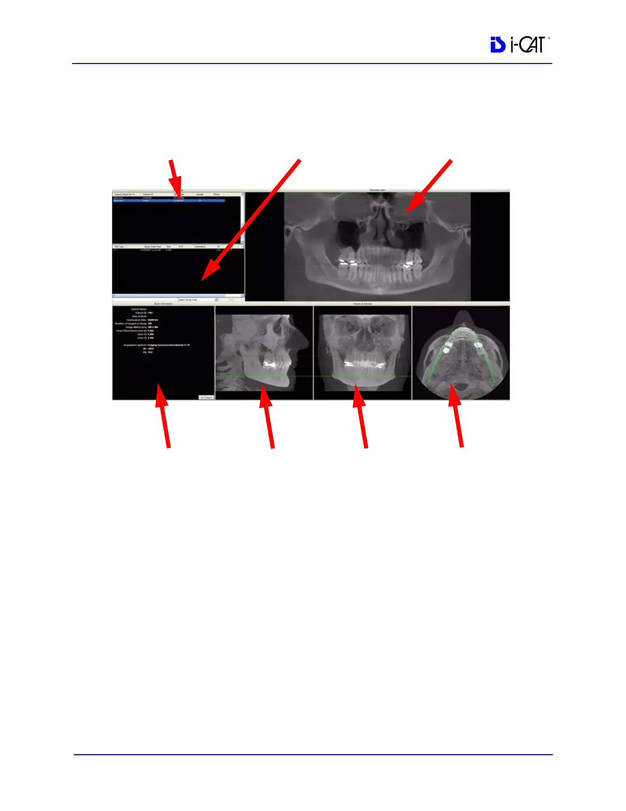
Once data is successfully reconstructed, the Preview screen appears
as shown below, showing the Panoramic, Sagittal, Coronal, and
Axial views of the skull through midline.
The Preview Screen is divided into seven views:
Patients in Database
Patient Images
Patient Detail View
Panoramic View
Sagittal View
Coronal View
Axial View
Patients in Database lists all Patients and their data who are entered
into the database.
Patient Images lists all images that pertain to the selected
(highlighted) Patient from the Patients in Database list.
PATIENT DETAIL
VIEW
SAGITTAL
VIEW
CORONAL
VIEW
AXIAL
VIEW
PATIENT DATABASE PATIENT IMAGES PANORAMIC VIEW

Table of Contents