EasyManua.ls Logo

GE Vivid S60

GE Vivid S60
709 pages
To Next Page IconTo Next Page
To Next Page IconTo Next Page
To Previous Page IconTo Previous Page
To Previous Page IconTo Previous Page
Loading...
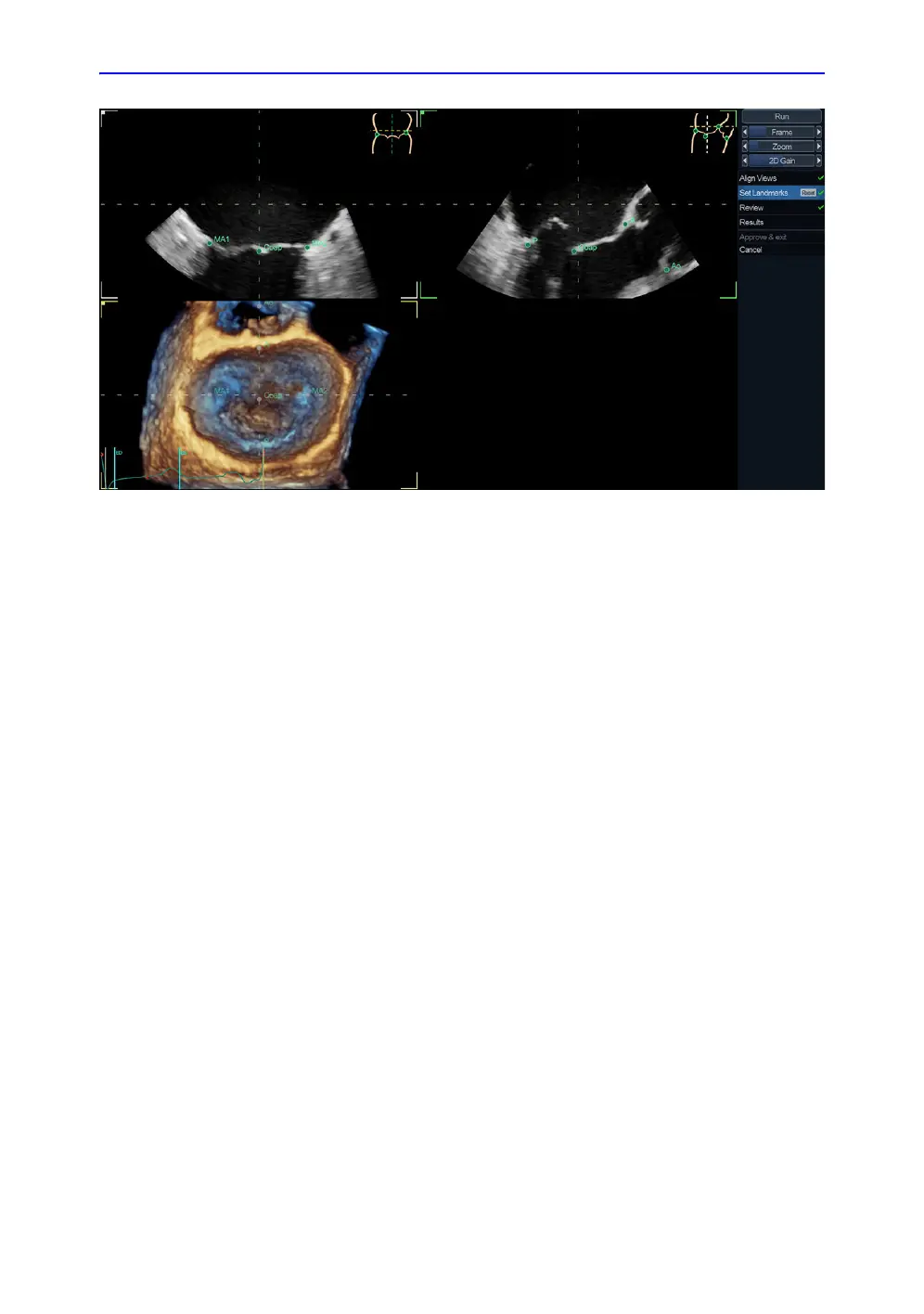
4D Auto MVQ
Vivid S70 / S60User Manual 8-71
BC092760-1EN 01
Figure 8-37. Set Landmark stage

Table of Contents

Other manuals for GE Vivid S60

Related product manuals