EasyManua.ls Logo

GE Vivid S60 - Review

GE Vivid S60
709 pages
Print Icon
To Next Page IconTo Next Page
To Next Page IconTo Next Page
To Previous Page IconTo Previous Page
To Previous Page IconTo Previous Page
Loading...
Measurements and Analysis
8-72 Vivid S70 / S60User Manual
BC092760-1EN
01
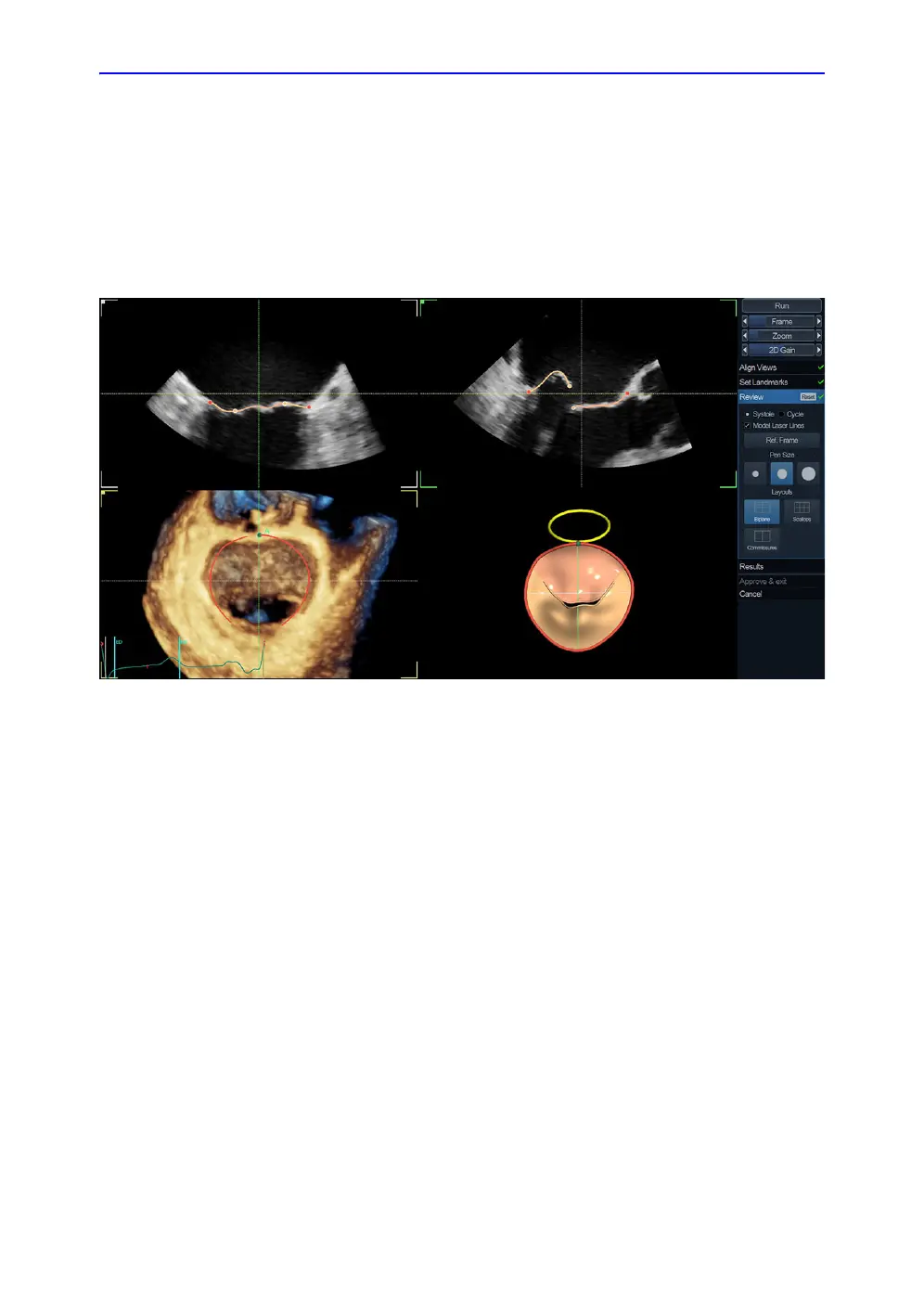
Review
1. The Review stage is automatically entered.
The default screen displays two long axis views (MC and
APLAX), short axis 3D view at the annulus plane aligned
according to surgical view (the 3D looking from atrium to MV
and with aortic valve on top) and an interactive 3D view of
segmented MV (Figure 8-38).
Figure 8-38. The Review stage
2. The MV segmentation should be checked in all slices. To
visualize the MV segmentation in all slices, rotate the
reference slices in short axis view (dotted lines) and observe
the segmentation in the interactive view. In 3D interactive
view the model laser lines update according to slice position
in the 3D short axis view. The segmentation is correct when
segmented model overlaps MV leaflets.
NOTE: Erroneous contour detection of the mitral valve may lead to
incorrect measurement results. The contour detection
should be visually checked and edited if required.
3. The MV segmentation may be adjusted by clicking and
dragging leaflet contours in 2D views or by clicking and
dragging handles (dots on annulus and on leaflet free
edges).
4. In commissure layout the user can modify commissure
points. On left 3D image the user can place mouse cursor
on one of the commissures while loop is playing and click.

Table of Contents

Other manuals for GE Vivid S60

Related product manuals