EasyManua.ls Logo

GE Vivid S60 - Page 352

GE Vivid S60
709 pages
Print Icon
To Next Page IconTo Next Page
To Next Page IconTo Next Page
To Previous Page IconTo Previous Page
To Previous Page IconTo Previous Page
Loading...
Measurements and Analysis
8-74 Vivid S70 / S60User Manual
BC092760-1EN
01
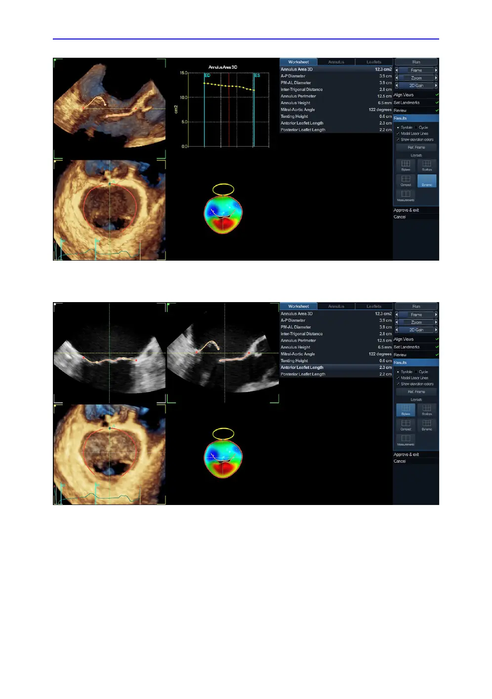
Figure 8-40. The Results screen, showing Dynamic Layout
Figure 8-41. The Results screen, showing Measurement
layout

Table of Contents

Other manuals for GE Vivid S60

Related product manuals