EasyManua.ls Logo

GE Revolution CT - Modify Active (Yellow) Annotation

GE Revolution CT
702 pages
To Next Page IconTo Next Page
To Next Page IconTo Next Page
To Previous Page IconTo Previous Page
To Previous Page IconTo Previous Page
Loading...
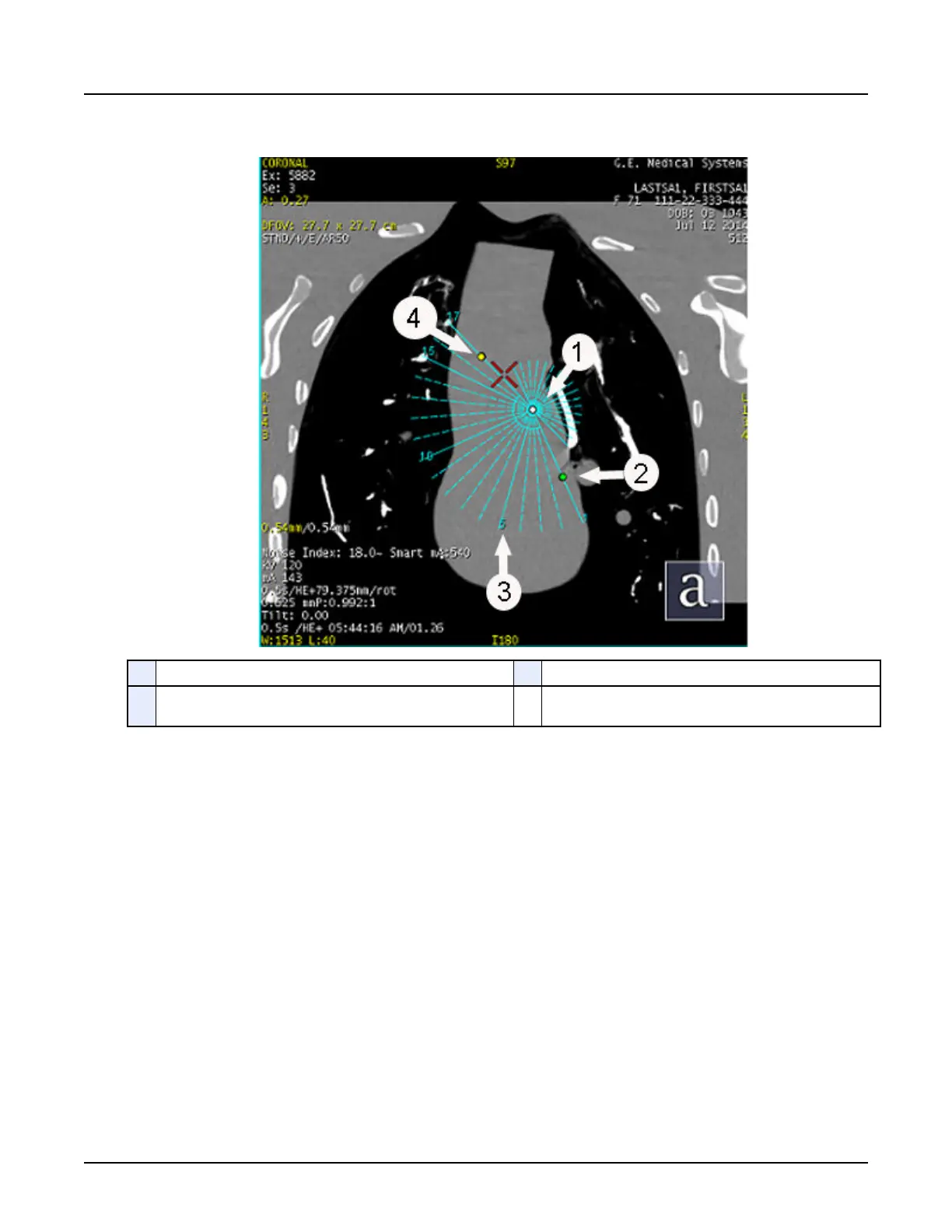
Illustration 16: Graphic object – rotate reformats
1 Handle to move the entire reformat plan 3 Numbers showing start and end of reformat
2 Handle to change the angle between the slices 4 Handle to change the range of numbers between start and
end of reformat
3.2.6 Modify active (yellow) annotation
All active (yellow) annotations on the image indicate adjustable fields. Yellow Numerical values
can also be adjusted with left/right-click to decrease/increase values. Refer to Chapter 16,
Section 3.3, Modify active (red) annotation in the Reformat chapter for more information.
Revolution CT User Manual
Direction 5480385-1EN, Revision 1
Chapter 15 Display Applications 431

Table of Contents

Related product manuals