EasyManua.ls Logo

GE Voluson S8 - 9.15.4 Set fetal contour; 9.15.5 Set head direction

GE Voluson S8
684 pages
Print Icon
To Next Page IconTo Next Page
To Next Page IconTo Next Page
To Previous Page IconTo Previous Page
To Previous Page IconTo Previous Page
Loading...
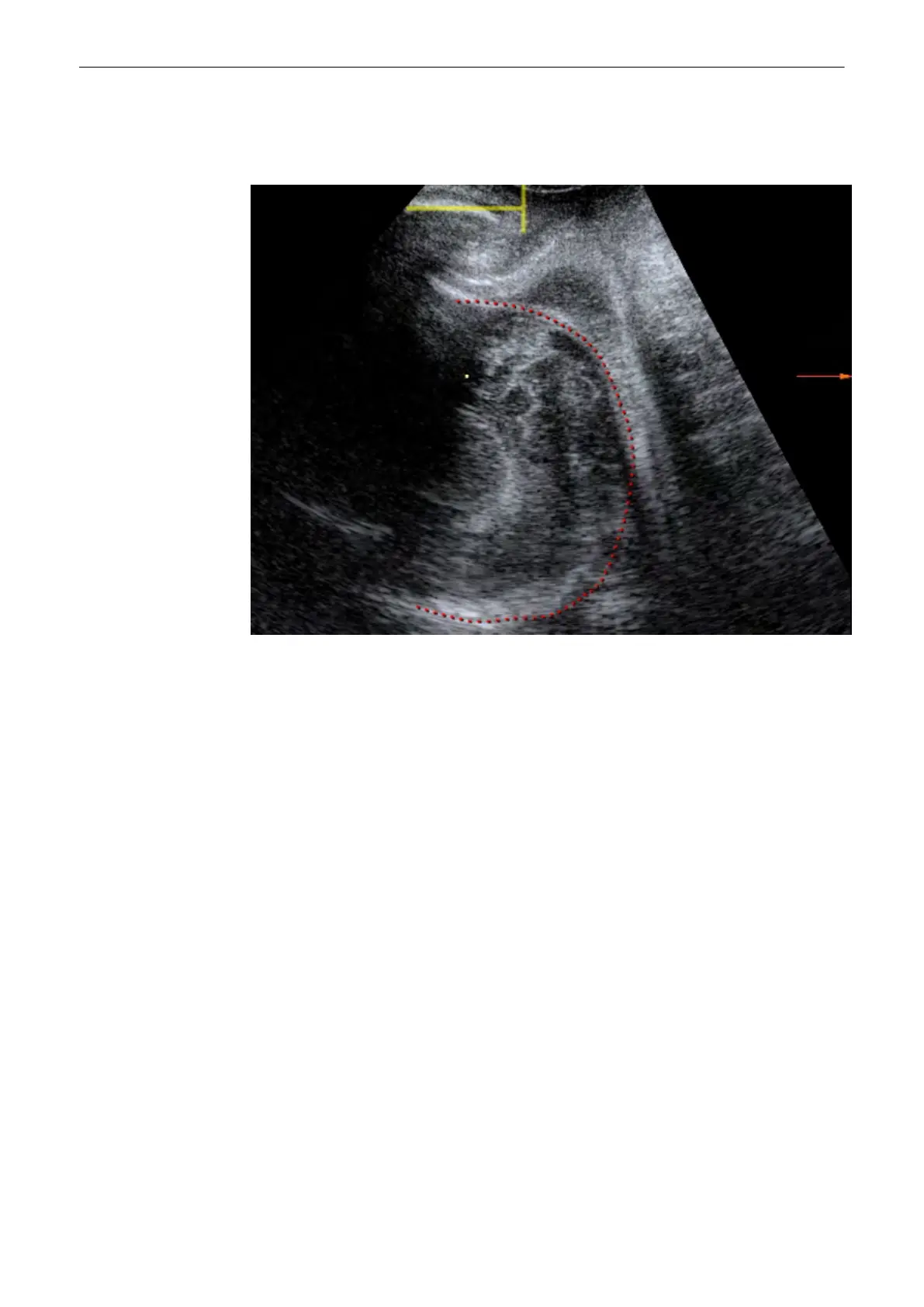
9.15.4 Set fetal contour
Trace the position of the fetal head point by point.
9.15.5 Set head direction
Draw a line of two points along the maximum head diameter. Then mark the most distant point
of the head contour. The head direction is automatically calculated as a line orthogonal to the
Volume Mode
9-146
Voluson® S6/S8 Basic User Manual
5433669-100 Revision 4

Table of Contents