EasyManua.ls Logo

KLA Tencor P-16+ - Figure 10.12 Stress Map Calculated by Apex Software; Figure 10.13 3 D Stress Toolbar in Apex Software

KLA Tencor P-16+
456 pages
Print Icon
To Next Page IconTo Next Page
To Next Page IconTo Next Page
To Previous Page IconTo Previous Page
To Previous Page IconTo Previous Page
Loading...
3D Stress (optional Feature, P-16+ only) - KLA-Tencor P-16+ / P-6 Users Guide
10-12 KLA-Tencor Confidential 0142530-000 AB
3/13/09
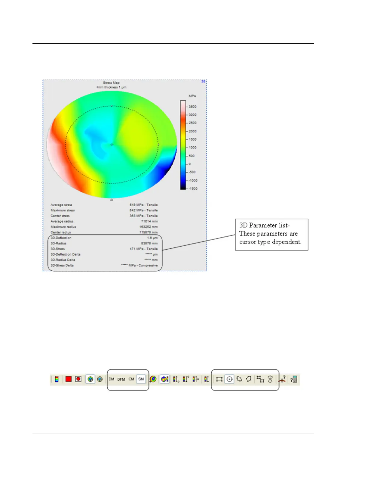
The stress values are automatically calculated in the 3D Stress Map. The Average
Maximum and Center parameters are based on the entire surface and do not change
with cursor location. However, the availability of the 3D parameters are cursor
dependent, and the type of cursor used can be changed via the Apex toolbar. Figure
10.13 displays the 3D Stress toolbar in the Apex software, with the commonly used
buttons highlighted.
Table 10.5 defines and describes the toolbar icons used to change the shape and
number of cursors to calculate the 3D parameters in the Stress Map image.
Figure 10.12 Stress Map Calculated by Apex Software
Figure 10.13 3D Stress Toolbar in Apex Software

Table of Contents

Related product manuals